

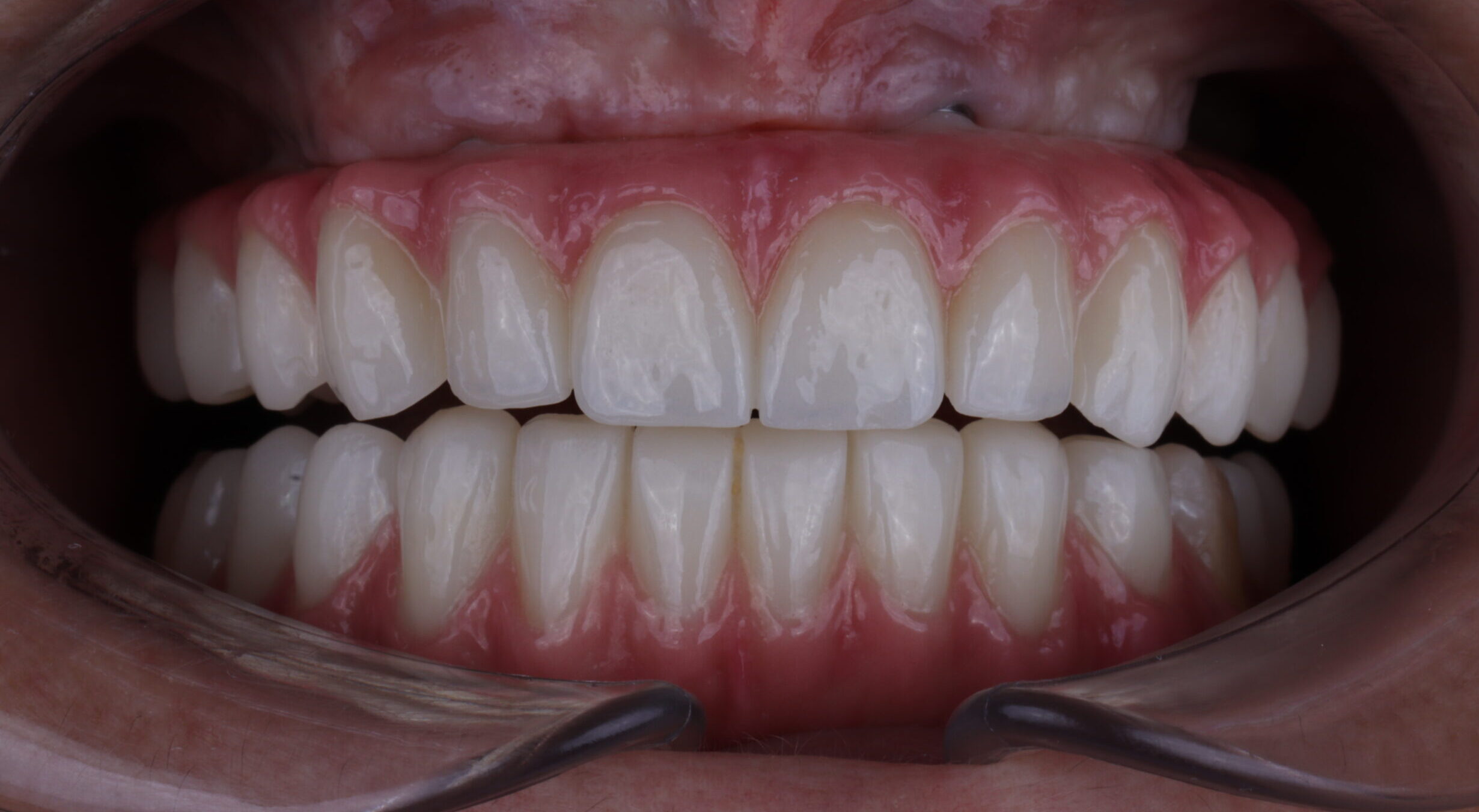
At Younes Dental Clinic, our All-on-4 procedure is designed to provide patients with a complete smile transformation in just one day. Using four strategically placed implants, we restore a full arch of natural-looking, fully functional teeth. Patients arrive with hope, and by the end of the day, they leave with a brand-new smile that radiates confidence. Our team takes pride in offering cutting-edge technology and exceptional care to ensure every smile is not only aesthetically beautiful but also strong and durable. This life-changing procedure allows our patients to enjoy a renewed sense of well-being and the ability to smile, eat, and speak with confidence.
Younes Dental Clinic
-
© 2025 - All Rights Reserved